口腔人知口腔事|牙体牙髓那些事
发布时间:2017-11-13 作者: 来源: 浏览次数:


导语:“牙痛不是病,痛起来真要命”,痛得满地打滚哭爹喊妈,不知道您有没有过这样要命的体验。我们用尽各种土办法、吃了所有止痛片都不管用。好忧伤,咋整呢?
今天给大家介绍的是牙体牙髓科。
牙体牙髓科,顾名思义就是负责治疗牙体病和牙髓病的科室。
(Σ(っ °Д °;)っ啥?敢不敢看着我的眼睛再说一遍?)
科普还需专家来,所以小编特意采访了牙体牙髓科的老师,让她来为我们一一解答吧~
牙周科
特邀:牙体牙髓科 @陈群老师
“陈老师好,请问究竟什么是牙体牙髓病呢?”
陈群老师:
牙体牙髓病是发生在牙体硬组织和牙髓组织的疾病。
发生在牙齿硬组织的疾病称为牙体病,最常见的就是龋齿,俗称“虫牙”。此外,还包括其他原因引起的牙齿缺损,比如咀嚼槟榔、夜磨牙等引起的牙齿磨耗,外伤等引起的牙隐裂、牙齿折断、牙脱位等。长期、大量饮用酸性饮料如可口可乐、果汁、醋等引起的酸蚀症。牙齿变色的问题比如牙齿发育不良、氟斑牙、四环素牙等也是牙体病。
牙髓病是指发生在牙髓组织的疾病。我们知道,我们的牙齿里面有由神经血管等组成的牙髓组织,牙髓组织一旦因为某种原因被感染了,就会引起牙髓疾病。比如因为“虫牙”没及时去医院补牙,越烂越深,深入牙髓就会引起牙髓的炎症。主要表现就是牙痛或者牙酸。
“针对这些牙体牙髓病,咱们科室开展的治疗项目都有哪些呢?”
陈群老师:
我院牙体牙髓病的治疗水平处于湖南领先,国内先进。牙体牙髓科拥有多台世界顶级的根管显微镜,我们的医生也一直以匠人般精益求精的精神做好每一个病例,服务好每一个患者。

图:我科全面开展国际化显微治疗
显微根管治疗是我们的看家本领,这里也是省内根管治疗的终点站,我们科的显微牙医们用专业、极致的技术处理了各类疑难根管,比如取根管断针、疏通根管钙化以及牙髓反复治疗失败病例的再治疗,专业处理各类根管治疗并发症和后遗症。并且开展了国际前沿的治疗项目——显微根尖手术、牙髓血运重建术/牙髓再生术,最大限度地为患者保存自身牙齿组织。
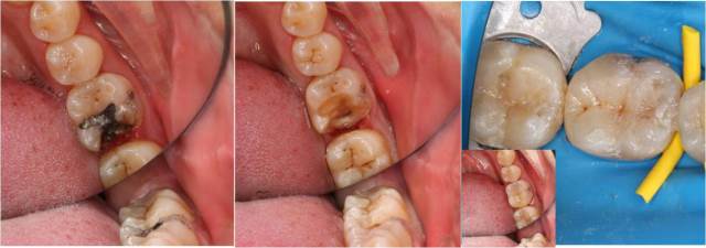
科室全面开展显微牙体牙髓一体化治疗,由根到冠一站式解决整颗患牙的治疗需求。以患牙的功能为目的设计治疗方案,在完善根管治疗后即时进行牙冠缺损的修复,包括直接充填、嵌体/全冠修复等,保证根管治疗的疗效。最大限度地节省患者的治疗时间,减少复诊次数,并提高治疗的成功率。

图:龋坏、继发龋坏、牙体缺损的直接美学修复

图:牙体牙髓冠根一体化治疗方案,一站式解决患者牙体及牙髓病的治疗需求
我科一直秉承细致严谨、微创舒适的原则。开展了龋病微创美学充填,其他各类复合树脂美学修复,渗透树脂治疗早期龋和牙釉质白垩斑,牙体冷光美白术,激光去龋,激光根管消毒,激光牙本质脱敏等一系列牙体保存、牙体缺损修复、和牙体美容项目。
“能具体介绍一下现在大热的冷光美白技术吗,是否会对牙体以及牙周造成损害?”
陈群老师:
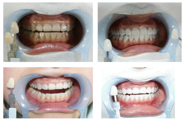
A3冷光美白技术是采用高强度蓝光,隔除有害的紫外线与红外线,将美白剂快速渗透至牙齿深层,与深层的色素发生置换反应,从而达到美白牙齿的效果。整个冷光照射仅需30分钟,美白剂不接触牙龈,对牙齿结构及牙釉质不会造成伤害。
冷光美白术对于着色牙、轻中度四环素牙、氟斑牙等具有很好的美白效果。

图:重度四环素牙的冷光美白(连续两次治疗效果)
“无痛、微创、舒适是科室牙科治疗的三大理念,如何实现呢?”
陈群老师:
A4随着牙科设备、技术、材料的飞速发展,无痛、微创的舒适治牙理念逐渐深入人心。科室在湖南率先推行笑气镇痛镇静下治牙,使口腔疾病的患者能在无痛状态下接受口腔治疗,该方法的应用受到患者的交口称赞。我科拥有的计算机控制无痛口腔麻醉仪、笑气镇静镇痛仪、顶级根管手术显微镜、Fotona激光、Er,Cr:YSGG激光,和专业的显微牙医是无痛微创舒适治疗的保证。患者在享受高科技设备的同时,还有科室医护人员温馨体贴的四手操作,最大限度地降低了患者对看牙的恐惧!